DOTT. BARBIERA
Piorrea: Sintomi, Cause e Cure Efficaci per la Parodontite
Piorrea: Cosa Succede Quando Vedi Sangue Sulle Gengive
Vedi sangue quando ti lavi i denti?
Magari pensi "avrò spazzolato troppo forte" oppure "capita, è normale".
In realtà, quel sanguinamento è uno dei primi sintomi della piorrea che non dovresti ignorare.
Lascia che ti spieghi cos'è la piorrea, quali sono le cause e come si può curare efficacemente prima che sia troppo tardi.
Cos'è la Piorrea (Parodontite): Definizione e Caratteristiche
La piorrea, oggi chiamata parodontite o malattia parodontale, è una delle patologie più comuni e più complesse che affrontiamo in odontoiatria.
Fondamentalmente è la distruzione progressiva di gengiva e osso che sostengono il dente.
Funziona così:
Il dente normalmente è ben ancorato nell'osso, circondato da gengiva sana. Con la piorrea, l'osso e la gengiva vengono gradualmente riassorbiti, spariscono. Il risultato? Il dente perde supporto e inizia a muoversi.
Il problema principale è che la piorrea è una malattia silenziosa.
Soprattutto nelle fasi iniziali non ci sono sintomi evidenti. Il paziente non si accorge di nulla. Ma col tempo, l'infiammazione cronica fa il suo corso e iniziano a manifestarsi i disagi.
Sintomi della Piorrea: I Segnali Da Non Ignorare
Come riconoscere la piorrea? Ci sono alcuni sintomi caratteristici che dovrebbero farti venire il dubbio:
Sanguinamento Gengivale
Non è perché spazzoli troppo forte. È un segno di infiammazione cronica: la gengiva è infiammata e quando viene stimolata dallo spazzolino, sanguina come una ferita aperta che viene punzecchiata.
Alitosi Persistente
Nelle situazioni più marcate di piorrea avanzata, l'accumulo batterico nelle tasche può causare alito cattivo che non passa nemmeno dopo aver lavato i denti.
Denti Che Si Muovono o Si Spostano
Quando l'osso si riassorbe, i denti perdono stabilità. Possono spostarsi, creare spazi dove prima non c'erano, diventare mobili.
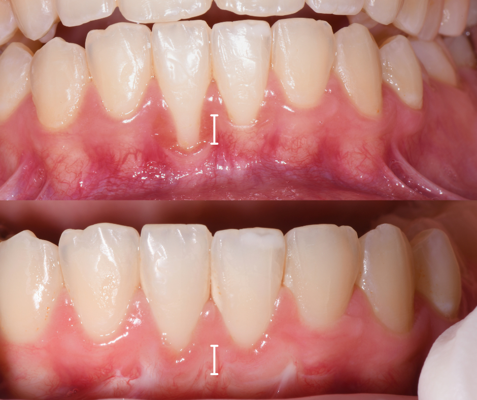
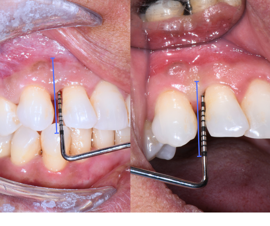
Le Tasche Gengivali
Questo è un segnale che spesso comunichiamo noi dentisti durante le visite. Usiamo uno strumento chiamato sonda parodontale - praticamente un piccolo righello metallico - che ci permette di misurare la profondità dello spazio tra gengiva e dente.
Se la sonda scende in profondità (oltre i 3-4mm), significa che lì sotto l'osso si è riassorbito. In quella zona si accumulano cibo e batteri che continuano a distruggere i tessuti circostanti.
sventagliamento dei denti
Nei casi di parodontite avanzata i denti si iniziano ad allargare e muoversi, in questi casi si è costretti a fare oltre le terapie parodontali anche terapie correttive come l'ortodonzia o la protesi. A tal proposito consiglio di leggere l'articolo di blog dello Studio Odontoiatrico Dr Leonardo Miceli di Napoli che parla delle correzioni da effettuare in questi casi.
Cause della Piorrea: Perché Viene la Parodontite
Cosa causa la piorrea? Il meccanismo è questo:
Batteri specifici (chiamati batteri parodontopatogeni) si attaccano alla radice del dente, soprattutto negli spazi dove lo spazzolino non arriva bene.
Questi batteri formano un biofilm, una sorta di patina appiccicosa che aderisce alla superficie. Questa patina è tossica per i tessuti: stimola una risposta infiammatoria cronica che porta alla distruzione progressiva di gengiva e osso.
È un circolo vizioso: più si forma la tasca, più batteri si accumulano, più la distruzione avanza.
Fattori di Rischio della Piorrea
Le cause della piorrea sono aggravate da:
- Scarsa igiene orale
- Fumo di sigaretta
- Diabete
- Predisposizione genetica
- Stress
- Alcuni farmaci
Differenza Tra Gengivite e Piorrea
Molti si chiedono: qual è la differenza tra gengivite e piorrea?
| Caratteristica | Gengivite | Parodontite |
|---|---|---|
| Tessuti colpiti | Solo Gengive | Gengive + Osso |
| Reversibilità | Completamente Reversibile | Irrreversibile |
| Sintomi | Sanguinamento Rossore | Mobilità dei denti e tasche |
| Gravità | Lieve | Da moderata a grave |
La gengivite, se non trattata, può evolvere in piorrea. Per questo è fondamentale intervenire tempestivamente ai primi sintomi.
Come Curare la Piorrea: Trattamenti Efficaci
La buona notizia: la piorrea si può curare e stabilizzare.
Gli studi scientifici ci dicono che con una terapia corretta e sistematica, il 70-90% delle tasche gengivali può chiudersi e rimarginare completamente.
Ma c'è una condizione: bisogna intervenire per tempo e seguire un protocollo preciso.
1. Terapia Parodontale Professionale: Rimozione Del Biofilm
Come si cura la piorrea? La prima cosa da fare è eliminare la causa: i batteri e il biofilm che si sono accumulati sulle radici dei denti, sotto il margine gengivale.
Questo si fa attraverso sedute professionali dove utilizziamo strumenti specifici - manuali o a ultrasuoni - per:
- Rimuovere il tartaro dalle radici
- Eliminare il biofilm batterico
- Levigare le superfici radicolari (per renderle meno favorevoli alla ricolonizzazione batterica)
Non è una "semplice pulizia dei denti". È una terapia causale parodontale vera e propria, mirata e profonda.
2. Igiene Orale Domiciliare: La Prevenzione Quotidiana
Questo è il fronte su cui lavori tu, a casa, ogni giorno.
E ti dico subito: spazzolare i denti non basta per prevenire la piorrea.
I batteri della malattia parodontale vivono negli spazi interdentali, sotto il margine gengivale, in zone che lo spazzolino non raggiunge efficacemente.
Per questo sono fondamentali:
Il filo interdentale → Per pulire tra dente e dente
Lo scovolino → Per gli spazi più ampi e per le zone difficili
Lo so, spesso sento dire: "Non ho tempo", "Non so usarlo bene", "È complicato".
In realtà sono manovre che richiedono pochi minuti. E una volta imparate diventano automatiche, come lavarsi i denti.
La nostra igienista è lì proprio per questo: insegnare la tecnica corretta, personalizzata in base alla tua situazione specifica.
3. Mantenimento Parodontale: Richiami Periodici
Questo è fondamentale: la piorrea è una malattia cronica.
Non si "guarisce" una volta per tutte. Si gestisce nel tempo.
Per questo sono essenziali i richiami parodontali programmati - di solito ogni 3-6 mesi, in base alla gravità della situazione.
Durante questi richiami monitoriamo costantemente:
- La profondità delle tasche
- Lo stato di infiammazione
- L'efficacia della tua igiene domiciliare
E interveniamo prima che eventuali problemi si ripresentino.
È un po' come la manutenzione di un'auto: fai i tagliandi regolari per evitare che piccoli problemi diventino guasti gravi.
Piorrea Avanzata: Quando Intervenire È Urgente
Quanto prima intervieni nella cura della piorrea, meglio è.
Ecco un dato importante: l'osso che viene perso non si rigenera spontaneamente.
Possiamo fermare la progressione della malattia parodontale.
Possiamo stabilizzare la situazione.
Possiamo far rimarginare le tasche.
In alcuni casi di piorrea avanzata possiamo anche tentare terapie rigenerative per recuperare parte del tessuto perso.
Ma il tempo è un fattore critico. Prima interveniamo, più tessuto riusciamo a preservare.
Ogni giorno, settimana, mese che passa senza trattamento è perdita di osso che potrebbe essere evitata.
Piorrea: Quanto Tempo Per Guarire?
Una domanda comune: quanto dura il trattamento per la piorrea?
La risposta dipende dalla gravità:
- Piorrea lieve: 2-4 sedute + mantenimento
- Piorrea moderata: 4-6 sedute + mantenimento
- Piorrea avanzata: Trattamento più lungo, possibile chirurgia
I primi risultati si vedono dopo 2-3 mesi: riduzione dell'infiammazione, meno sanguinamento, chiusura parziale delle tasche.
Ma ricorda: la terapia parodontale richiede:
- Collaborazione (la tua igiene domiciliare è fondamentale)
- Costanza (i richiami non vanno saltati)
- Pazienza (i tessuti hanno bisogno di tempo per guarire)
Non è una "soluzione rapida". È un percorso terapeutico che richiede impegno da entrambe le parti.
faq
La piorrea è contagiosa?
I batteri della piorrea possono trasmettersi attraverso la saliva (baci, condivisione di posate), ma per sviluppare la malattia servono anche altri fattori: predisposizione genetica, scarsa igiene, fattori di rischio. Non è "contagiosa" nel senso classico del termine.
La piorrea può tornare dopo la cura?
Sì, la parodontite è una malattia cronica. Senza una corretta igiene domiciliare e senza i richiami periodici, può ripresentarsi. Per questo il mantenimento è fondamentale.
Si possono perdere i denti con la piorrea?
Sì, la piorrea non trattata porta alla perdita dei denti. È la principale causa di perdita dentale negli adulti dopo i 35 anni. Ma con il trattamento adeguato si possono mantenere i denti per tutta la vita.
Ci sono rimedi naturali per la piorrea?
Nessun rimedio naturale può sostituire la terapia parodontale professionale. Alcuni collutori (clorexidina) o sostanze naturali (tea tree oil) possono aiutare come supporto, ma la rimozione meccanica del biofilm è insostituibile.
Quanto costa curare la piorrea?
Quanto costa curare la piorrea?
Il costo varia in base alla gravità e al numero di sedute necessarie a ogni modo molto meno rispetto al costo di impianti dentali per sostituire denti persi
Prevenire la Piorrea: 5 Abitudini Quotidiane Efficaci
La prevenzione della piorrea inizia ogni giorno, a casa tua:
- Spazzola i denti 2 volte al giorno per almeno 2 minuti
- Usa il filo interdentale ogni sera (o lo scovolino se gli spazi lo permettono)
- Non fumare - il fumo è uno dei maggiori fattori di rischio
- Controlla il diabete se ne soffri - c'è una correlazione diretta
- Fai controlli regolari dal dentista ogni 6-12 mesi
Piorrea: Sintomi Iniziali Da Riconoscere Subito
Ricapitoliamo i sintomi iniziali della piorrea che non devi ignorare:
✓ Sanguinamento gengivale durante lo spazzolamento
✓ Gengive rosse, gonfie o dolenti
✓ Gengive che si ritirano (denti che sembrano più lunghi)
✓ Alito cattivo persistente
✓ Sensibilità dentale aumentata
✓ Denti che si muovono leggermente
Se riconosci anche solo 2 di questi segnali, prenota subito una visita parodontale.
Quando Fare Una Visita Parodontale
Un controllo con la sonda parodontale richiede pochi minuti e ti dice esattamente qual è la situazione.
Se c'è un problema, meglio saperlo subito e intervenire quando è ancora gestibile.
Se va tutto bene, almeno hai la certezza e puoi stare tranquillo.
La piorrea è subdola proprio perché non fa male nelle fasi iniziali. Quando inizia a dare sintomi evidenti, spesso è già in fase avanzata.
Non aspettare di "sentire qualcosa" prima di controllare.
Conclusioni: La Piorrea Si Può Curare
La parodontite (piorrea) è una malattia comune, seria, ma gestibile.
Richiede un approccio professionale mirato, igiene domiciliare corretta e mantenimento costante nel tempo.
Se presa in tempo e trattata correttamente, puoi mantenere i tuoi denti sani e stabili per tutta la vita.
Ma bisogna agire prima che il danno diventi irreversibile.
Ricorda: l'osso perso non torna. Ogni giorno conta.
Prenota La Tua Visita Di Controllo Parodontale
Se vuoi saperne di più sulla tua situazione specifica, prenota una visita di controllo parodontale.
Un semplice esame può fare la differenza tra mantenere i tuoi denti naturali o affrontare problemi più complessi in futuro.
Alla Clinica Odontoiatrica Barbiera siamo perfezionati nella cura della Parodontite, ci troviamo a Partinico in via Canaletto 23
📞 Telefono: 0915078525
📧 Email: info@clinicaodontoiatricabarbiera.it
📍 Indirizzo: Via Canaletto 23 90047 Partinico PA
Condividi
DOTT. BARBIERA
articoli correlati







